Escoliosis Idiopática del Adolescente
Escoliosis Idiopática:
- Escoliosis idiopática infantil (inicio antes de los 3 años).
- Escoliosis idiopática juvenil (inicio entre los 3 y 10 años).
- Escoliosis idiopática del adolescente (inicio después de los 10 años).
¿Que es la escoliosis?
La columna vertebral vista de frente o de espalda debe estar recta. Cuando aparece una escoliosis se aprecia un desplazamiento lateral de la columna hacia la derecha o hacia la izquierda de más de 10º asociada a una rotación vertebral.
|
Aunque la anomalía más evidente se manifiesta en el plano frontal, la rotación vertebral hace que la escoliosis sea una deformidad tridimensional. |
¿Que provoca la escoliosis?
La escoliosis puede aparecer a consecuencia de numerosas causas, aunque la más frecuente es la idiopática, lo que quiere decir de “causa desconocida”.
| Idiopatica = Desconocida |
Se trata de un cuadro genético y siguen intentando aislar la combinación de genes individuales que provocan la aparición de la escoliosis.
| ADN: El material que contiene nuestro código genético |
¿Es frecuente la escoliosis?
Se cree que entre el dos y el tres por ciento de los adolescentes tienen escoliosis idiopática.
De todos los adolescentes entre 10 y 16 anos del Perú tenemos:
- Curvas > 10 grados: 2 – 3 %
- Curvas > 40 grados: 1 % (1/1000 casos)
| Curvas que necesitaran CIRUGIA: 1 % de adolescentes, aproximadamente en el Perú 1500 a 2000 casos por año. |
| ESTE PROBLEMA NO ESTA ASOCIADO A USO DE MOCHILAS Y/O A PROBLEMAS DE POSTURA |
Grupo en Riesgo:
|
¿Quién puede detectar la presencia de escoliosis en un niño?
Pediatra o médico de familia durante una exploración rutinaria
- Enfermera o médico en las revisiones escolares (“despistaje escolar”)
- Entrenador, fisioterapeuta o profesor de gimnasia
- Padres
- El/la propio/a niño/a
- Otros miembros o amigos de la familia
¿Qué es el “despistaje” escolar?
- En algunos países es obligatorio que los niños en los colegios pasen una revisión al empezar la adolescencia con objeto de detectar una escoliosis
- Típicamente, se evalúa a las niñas sobre los 11 o 12 años y a los niños sobre los 12 o 13 años.
- Generalmente esta revisión se realiza en el colegio por un persona entrenado en escoliosis.
|
Lamentablemente es nuestro país todavía no existe programas de detección de escoliosis en los colegios. |
Despistaje de Escoliosis: que buscar
¿Qué es lo que buscan?
Hay ciertas cosas que pueden detectarse:
- Un hombro más alto que otro
- Un omoplato (escápula) más prominente que el otro
- Una cadera más alta que la otra
- Una pierna parece más larga
- El tronco y la parrilla costal están desplazados hacia un lado
- La cabeza no está centrada sobre la pelvis
- Asimetría de la cintura
- La ropa cuelga de manera asimétrica y cuando el/la niño/ niña se inclinan hacia delante por la cintura, un lado parece más alto
|
Algunos de estos signos de escoliosis pueden ser difíciles de detectar, especialmente para el observador no entrenado. |
TEST DE ADAMS
Hay ciertas cosas que pueden detectarse:
- El examinador solicita al paciente que se incline hacia adelante con los brazos flojos y las rodilla extendidas.
- Se observan los hemitórax (que deben ser simétricos).
- Si existe una asimetría a nivel torácico o lumbar, se dice que la maniobra de Adams es positiva y se debe descartar una escoliosis solicitándole radiografía
|
La Escoliosis produce la formación de una giba torácica (prominencia de los arcos costales en un lado del tórax) y una giba lumbar (por el deslizamiento de los músculos que están encima de estas vertebras). |
Hemos apreciado signos de escoliosis. ¿Cuál es el siguiente paso?
- Debe ser evaluado por un especialista para una exploración detallada.
- Será preciso realizar una radiografía para confirmar el diagnóstico de escoliosis.
- Las radiografías deben realizarse con el paciente de pie y erguido. Para valorar mejor la alineación global de la columna vertebral, deben incluirse todas las regiones de la columna en una misma placa, en lugar de obtener radiografías individuales de cada región.
|
La radiografía que debe realizarse se denomina: Espinograma o Columna Panorámica |
Diagnostico
La Escoliosis produce la formación de una giba torácica (prominencia de los arcos costales en un lado del tórax) y una giba lumbar (por el deslizamiento de los músculos que están encima de estas vertebras).
Lo que estamos viendo puede ser escoliosis. ¿Cómo se nos ha escapado?
- No es infrecuente que la escoliosis la detecte alguien que no sea los padres.
- Durante la pre-adolescencia y la adolescencia los cambios corporales se producen muy rápidamente.
- Los adolescentes se vuelven más celosos de su intimidad corporal, por lo que los padres con frecuencia no ven a sus hijos en situaciones en las que es fácilmente detectable la escoliosis.
- Los cambios iniciales en el aspecto corporal a consecuencia de la escoliosis pueden ser muy sutiles y puede haber muy poca repercusión externa a pesar de presentar una curva importante.
|
Algunos de estos signos de escoliosis pueden ser difíciles de detectar, especialmente en escoliosis leves. |
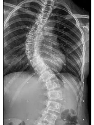
¿Cómo se ve la escoliosis en la radiografía?
- La escoliosis viene definida por la región de la columna vertebral donde surge la curva (columna torácica alta, columna torácica o columna lumbar).
- La escoliosis puede localizarse en uno o más segmentos: curva simple, curvas dobles o triples.
- La dirección de la curva puede ser derecha o izquierda.
¿Cómo se ve la escoliosis en la radiografía?
La escoliosis puede localizarse en uno o más segmentos: curva simple, curvas dobles o triples. La dirección de la curva puede ser derecha o izquierda.
Ejemplos de diferentes curvas y diversas localizaciones.
¿Aumentara mi Escoliosis?
Dos factores son los mas importantes para predecir la progresión:
|
I. Tamaño de la curva (Cuanto mide) II. Cantidad de crecimiento que le queda al niño y/o niña. |
¿Como determinar el potencial de crecimiento óseo?
El mas usado es el signo de risser que nos permite evaluar la aparición del núcleo de osificación en la cresta iliaca
¿Cómo se determina el potencial de crecimiento óseo?
En cada visita al especialista evaluara:
- La talla de la paciente
- Además, en la radiografía puede verse el Signo de Risser, un marcador de madurez ósea visible en la pelvis y que indica cuánto queda para alcanzar la madurez ósea.
- También se tiene en cuenta la presencia de signos propios de la pubertad. En las niñas se utiliza la aparición de periodos menstruales y el desarrollo de la mama, mientras que en los niños pueden valorarse los cambios en la voz y el vello facial.
Estos indicadores de madurez ósea no siempre se correlacionan y puede ser aconsejable realizar una radiografía con objeto de evaluar los núcleos de crecimiento de los huesos de la mano y en la pelvis.
¿Qué opciones de tratamiento tengo?
Depende:
|
Tamaño y severidad de la curva Edad. Potencial de crecimiento. Observación periódica. Uso de corsé. Cirugía. |
¿Qué opciones de tratamiento tengo?
¿Que implica la observación?
La observación implica que el paciente será vigilado mediante una exploración y unas radiografías a lo largo de visitas sucesivas con el especialista cada cuatro-doce meses.
La frecuencia de las visitas se establece en función del estadio del desarrollo en que se encuentra el paciente.
No se aconseja comparar radiografías realizadas con menos de 4 a 6 meses de intervalo a consecuencia de la pequeña variabilidad (hasta 5 grados) que existe en la medición diaria de las radiografías.
Habitualmente se recomienda sólo la observación ante curvas menores de veinte o veinticinco grados si queda algo de crecimiento aún y ante curvas de menos de cuarenta a cincuenta grados en aquellos pacientes que ya han finalizado el crecimiento.
OBSERVACION:
|
Controles frecuentes cada 4-6 meses, en función de la edad y potencial de crecimiento |
¿Progresará mi curva?
|
En general, cuanto más joven, menos madurez ósea tiene el paciente y mayor es la curva en el momento en que se detecta la escoliosis, mayor es el riesgo potencial de progresión. |
|
Recuerde, la mayoría de las curvas pequeñas se quedan pequeñas. |
Hemos estado observando la curva y ha empeorado. ¿Y ahora qué pasa?
Existen varias posibilidades para curvas en el rango de los veinticinco a cuarenta grados:
- Si la curva ha empeorado pero tiene menos de cuarenta grados y el crecimiento ha finalizado, existe poco riesgo de que la curve progrese durante la edad adulta.
- Si la curva ha empeorado, aunque no lo suficiente para recomendar cirugía, y aún estás creciendo, debe seguirse observando la curva y puede valorarse la utilización de un corsé.
Tratamiento
USO DE CORSE:
Curvas entre 20 y 40 grados.
Potencial elevado de crecimiento elevado, implica pacientes en etapas tempranas de crecimiento.
|
Corsé puede en algunos casos seleccionados frenar la progresión de la escoliosis y evitar un tratamiento quirúrgico. El uso de un corsé raras veces implica una corrección importante o permanente de una curva. |
¿Cómo sé que corsé debo utilizar?La recomendación del tipo de corsé se determinará en función del tipo de curva, localización de la curva primaria y preferencia del especialista. |
CIRUGIA:
¿Cuándo puede recomendarse la cirugía?
Esto depende:
- Estadio de crecimiento,
- Localización de la curva y
- Tipo de la curva.
|
Curvas mayores de 40 – 45 grados incluso si no han finalizado el crecimiento. Cuando se alcanza madurez ósea, algunas curvas entre 40 y 50 grados progresan y otras no Curvas mayores de 50 anos a pesar de ser adultos tienen elevado riesgo de seguir progresando a un ritmo lento |
Tratamiento
¿Cuáles son los objetivos principales de la cirugía?
Evitar la progresión de la escoliosis.
Corregir en forma segura lo que se pueda la deformidad
En que consiste la cirugía?
Durante la cirugía la curva se corrige de manera segura cuanto sea posible.
Para lograr este objetivo se anclan una serie de implantes (generalmente barras, tornillos, alambres y/o ganchos) a las vértebras en la región de la columna vertebral que está deformada.
Tras conseguir la corrección, se coloca injerto de hueso sobre los implantes, con el paso del tiempo, este injerto de hueso se fusiona (se pega entre sí) con el hueso existente y forma una columna sólida de hueso en esa zona.

